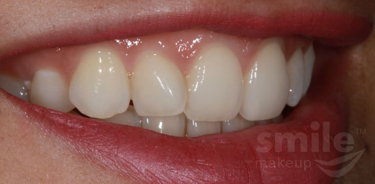
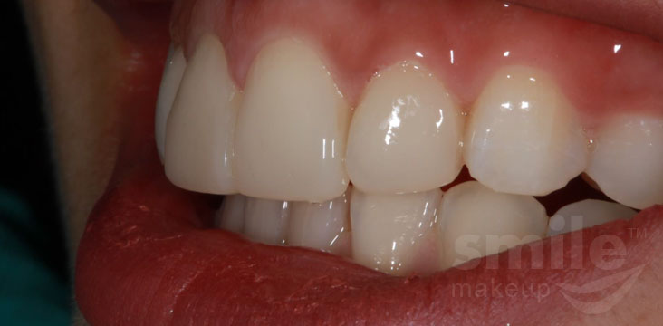
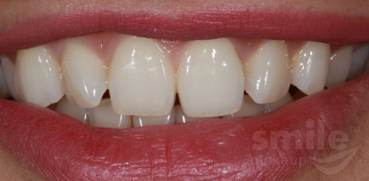
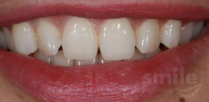
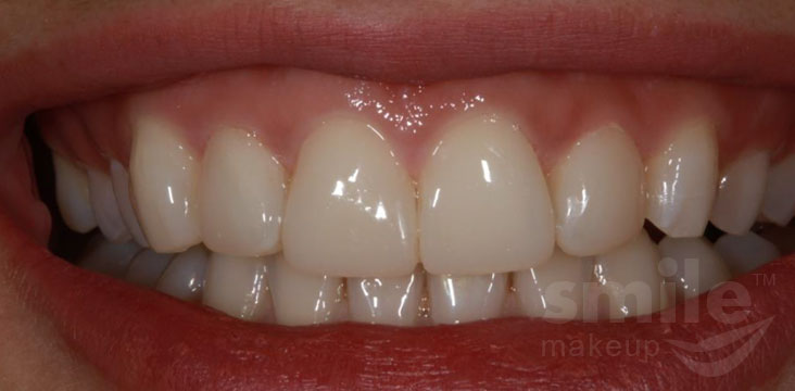
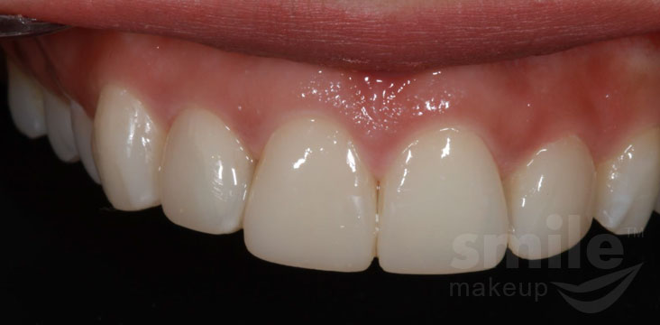
I never knew having good teeth makes so much of difference in a person’s facial beauty and confidence. I had two small gaps in between my front teeth and the shape of some front teeth were not in harmony with my smile. After wining Miss Nepal International title at Miss Nepal competition in 2017, I was introduced to Smile Makeup International Clinic of Vedic Smile Pvt. Ltd where a team of Smile Makeup experts did my smile analysis and Quick Smile Design ( QSD) . After completion of QSD I was asked if any modification I want , once I had approved the design the team of Smile Makeup clinic completed my smile makeup procedure without any drilling and touching my natural teeth , hence I did not have to go through any pain and discomfort . I am so glad to see the result my Smile Makeup which has drastically enhanced the beauty and style level of my SMILE. Now I love my smile so much and gained full confidence to smile at any level. When I look back at my old close-up pictures I feel I should have done my Smile Makeup before I participated in Miss Nepal. I am very happy to be one of the clients of Smile Makeup International Clinic of Vedic Smile Pvt. Ltd.
|
|
|
|
|
|
|
|
|
|
