And finally the wish was granted; pain went away and never came back for cosmetic/aesthetic dentistry.
Before MiCD (Minimally Invasive Cosmetic Dentistry) was introduced, the global trend for smile enhancement was invasive approach with reduction of healthy tooth structure which used to increase the biological cost of cosmetic dental treatment. Reduction of the entire tooth, or reduction of single side was commonly practiced for cosmetic dentistry in the name of Hollywood smiles, Smile Makeover, Smile design etc . Meaning multiple needle pricks, drilling of natural tooth structure, sensitivity, pain. People who wanted perfect smile needed to go through a painful phase before they could achieve what they wanted. This was definitely equally painful and bothersome for dentists as well. No dentist would ever want to hurt their patients.
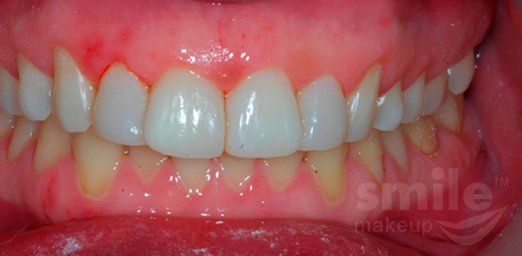
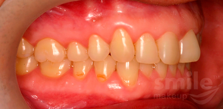
The introduction of revolutionary MiCD concept and treatment protocol have solved all problems and waved bye-bye to pain by drastically reducing the biological cost of the cosmetic dental treatment. Please allow me to share my experience about my Smile Makeup. I had quite okay smile, but not perfect. Two of my upper front teeth were slightly out of alignment, giving them a shape similar to the wings of a butterfly and teeth color were bit yellow.
|
|
|
|
|
|
|
|
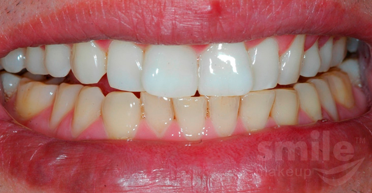
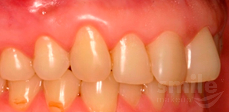
I wanted a better smile, so during my friendly visit, I consulted Dr. Sushil Koirala who is well known as one of the greatest contributor for MiCD globally and developer of MiCD concept and treatment protocol. Based on MiCD principles and treatment protocol my Smile Makeup was done without reduction of any healthy dental tissues with extra satisfaction by Dr. Koirala. I absolutely did not have to go through the “Painful phase” to achieve my better smile. And even after 10 years, my smile is still intact and stunningly better.
|
|
|
|
|
|
Intending to provide same level of satisfaction for my patients, I attended MiCD international training under Dr. Koirala back in 2014 and I have been providing this wonderful Smile Makeup service to my patients ever since. All people want to smile, and want to smile with a perfect one, and this can be achieved under zero level pain and without loss of healthy tooth structure. No pain, preservation of natural tissue, extra levels of satisfaction, happy dentist, and happy patient so what else could we wish for. Yes magic do exists, and Smile Makeup has done that magic by contributing greatly for “Painless & Healthy Cosmetic Dentistry”.
|
