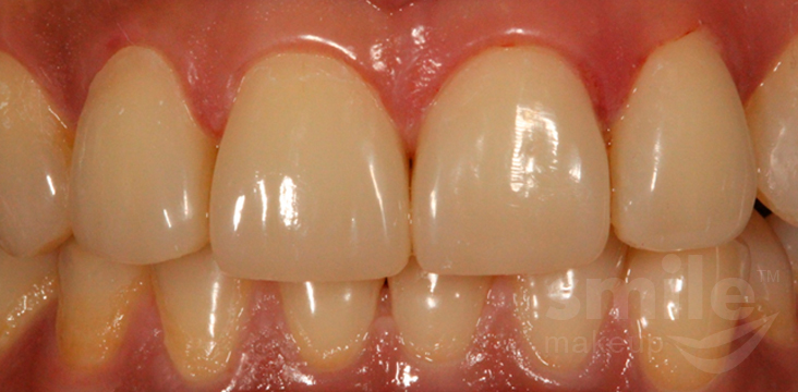
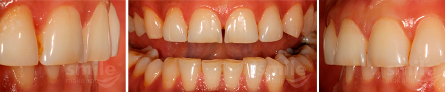
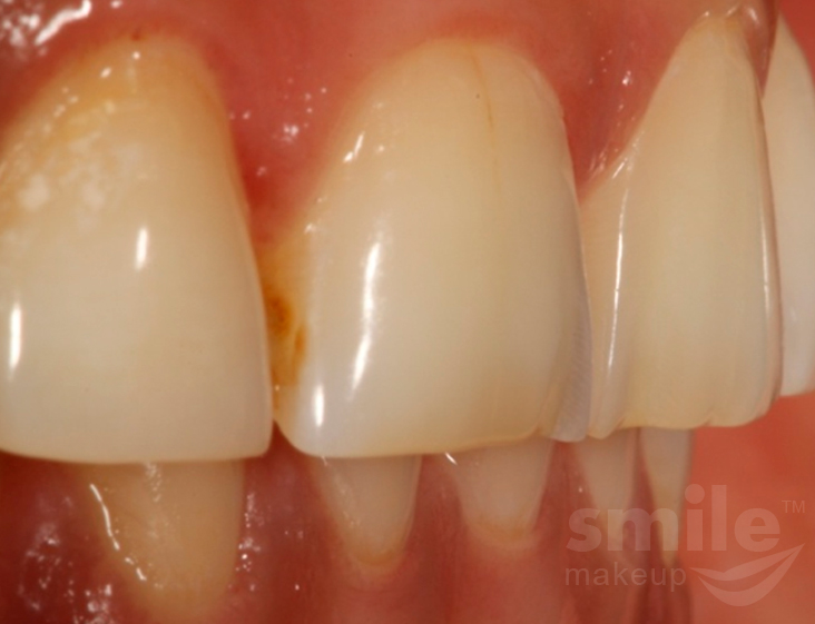
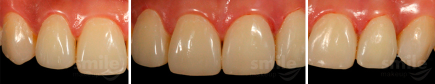
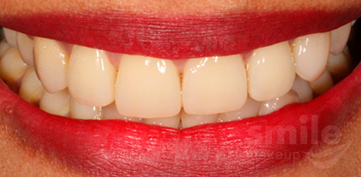
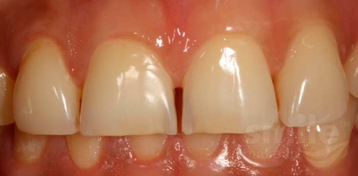
As a Women's Rights Activist, I have to deal with complex social issues. My job requires intelligence as well as a pleasant personality. Smile was always the best part of my personality. I was appreciated for that at all times. However, as years progressed, I noticed some changes in my smile. I realized that my front teeth had started to be discolored, getting shorter and broken edges. That caused me worried. So, I was seeking for a safe and finest method where I could go for my smile enhancement procedure which is non-invasive, painless with no drilling and cutting tooth structure. I found the Smile Makeup concept of Dr. Sushil Koirala and it best suited me. Now I am very pleased that I have gained my desired smile back. Smile Makeup always keeps me bright and shine.
|
|
|
|
||
|
||
|
|
|
|
||
|
|
|
|
|
|
|
|
|
|
