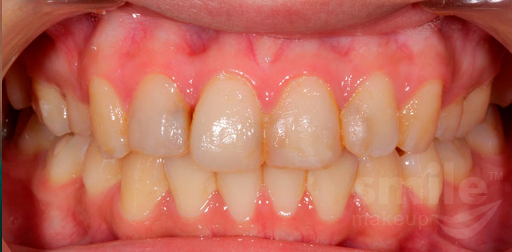
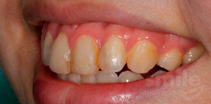
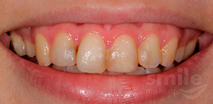
I am Dr. Thae Thinzar Soe, a general dental practitioner from Myanmar. Since the beginning of my professional life I had a great desire and passion to develop my clinical career in the field of cosmetic and glamour dentistry. Due to interest in the field I have understood, to some extent, the value of beautiful SMILE and its key role in overall facial aesthetics, personality and even psychological wellbeing of a person. I always dreamt to have my own smile to be beautiful and confident. My smile was not good due to multiple caries and misaligned front teeth. So I went for orthodontic treatment in Myanmar. After completing the treatment course my teeth were aligned properly but still they were stained and yellow and their shape was not in harmony with my facial type.
|
|
|
|
|
|
I could see something was still lacking in the beauty specially the color and shape of my teeth. I was wondering how I could get a proper smile enhancement for my smile.
In regard to develop my clinical skills in the field of cosmetic and glamour dentistry, I visited Nepal in 2018 to participate in a 3-day Minimally Invasive Cosmetic Dentistry (MiCD) International Mini Residency program organized by Koirala Dental Academy (KDA) and mentored by the world renowned cosmetic dentist Dr. Sushil Koirala, who also is the founder of Minimally Invasive Cosmetic Dentistry (MiCD) concept and treatment protocol. During our MiCD training program Dr. Koirala briefly taught us about his new concept of Smile Makeup by showing multiple step-by-step clinical cases about how to enhance smiles without sacrificing natural tooth structures yet achieving beautiful and healthy results.
At the end of the 2nd day, I showed my teeth problem to Dr. Koirala and humbly requested him if he could help my Smile Makeup done with his own hands?? Dr. Koirala smiled and said “Ok”. He assured me that he would try and said I will be the live demo patient for the training, so that all my friends could see it”. This made my entire colleague MiCD training participants very excited to see Smile Makeup done as Live Clinical Demo.
It began with cleaning the tooth surface stain by ultrasonic scaling and one gloss polishers , and Dr. Koirala did “Quick Smile Design” within 12 minutes using free hand composite mockup to make us understand how important are the tooth shape and color harmony in smile aesthetics. I approved the shape and color of the Quick Smile Design, and then he started doing direct composite resin veneers along with replacing my old restorations. I want to admit here that I was a little bit nervous and worried about the pain and the final outcome while removing the old restorations which I believe were fine and good. But there was no discomfort and sensitivity at all during the whole procedure and the complete treatment took only one and half hour.
Unlike in other conventional invasive techniques such as Indirect Veneers/Crown etc., tooth structure loss is almost nil in this Smile Makeup protocol which is an additive approach. I realized that this is the key Mantra of the MiCD concept which the Founder of MiCD wanted to introduce to all of us.
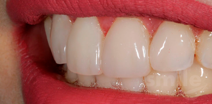
The best part is that the shapes and forms of the teeth are very suitable as per my facial form .They are not identical or symmetrical like in artificial denture or other smile design that advocate “One fit for All” type of smile design . Even the secondary characteristics of a tooth can be seen. The final result was like WOW! I couldn’t even imagine having that kind of teeth art in my life.
|
|
|
|
|
|
As the Smile Makeup restorations process is extremely emphasized on the polishing stage, the color remains unchanged over the years. Now I am able to smile freely without any limitations. You all can see the results in the pictures, and as a practicing MiCD dentist I suggest all patients to always ask their dentist for minimally invasive and predictable treatment like “Smile Makeup” while choosing any cosmetic dentistry services because the tooth structures once lost will never re-grow again, please note that they are not like your hairs and nails……….
|
|
|
Lastly, I would sincerely like to thank Dr Sushil, the founder of MiCD, Smile Makeup and our mentor for teaching us his noble concept and treatment protocol in cosmetic dentistry and giving me a SMILE of my desire.
