Let my soul smile through my heart and my heart smile through my eyes, that I may scatter rich smiles in sad heart. This is exactly what my smile story did, changed my world and enabled me to change others.
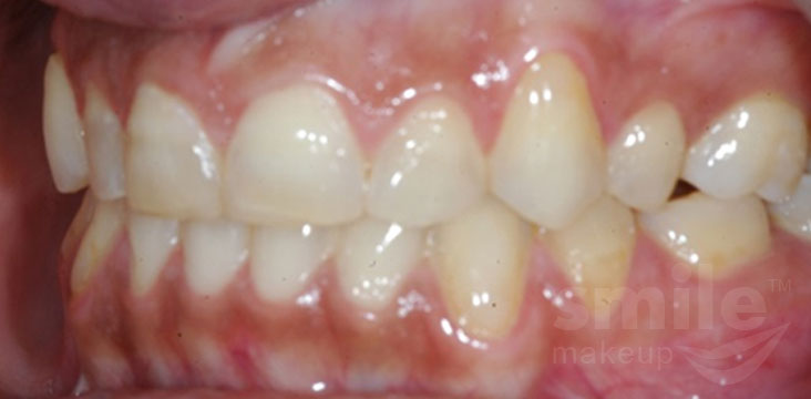
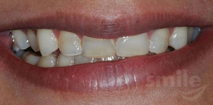
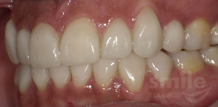
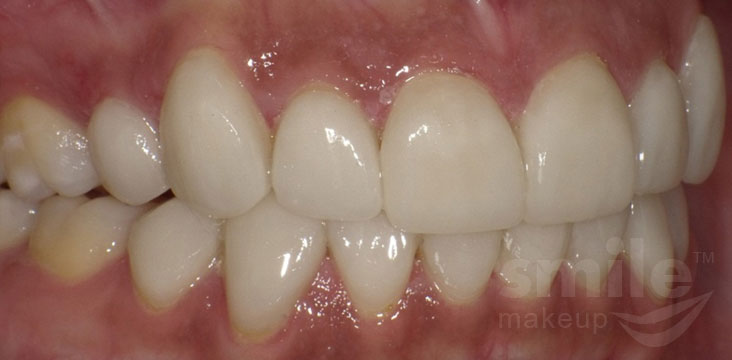
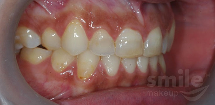
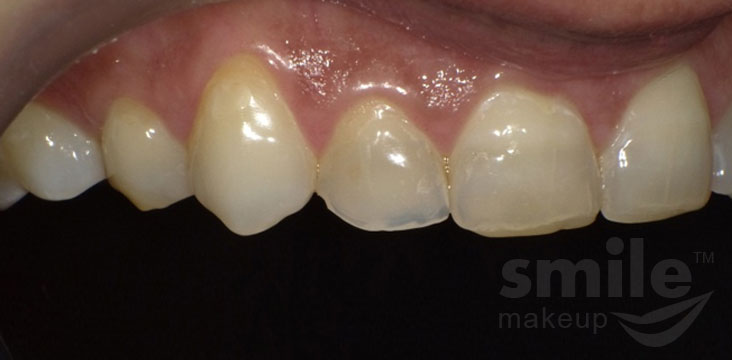
Smile is the cornerstone of social interaction. It is the most effective way a person can express his/her emotions. I had lived 34 years of my life with a smile that would restrict me from expressing myself completely. I would laugh but half hearted in order to avoid exposing my teeth much. I am an endodontist and conservative dentist myself, who else would know better the importance of Smile in one’s life than me. I would smile to the mirror everyday with a discontent. They were small, yellow, deep bite present and wearing off (Fig 1-8). The mirror never lies and this was really about specifics and not just a general feeling of dissatisfaction.
Turning point came when to break away from the mundane I ventured into modeling and acting as a side profession in 2014. For the acting agencies and photographers everything was perfect my height, vitals, expressions but I started to loose on projects owing to my under confident smile which would leave me conscious in front of the camera in smiling or laughing shots.
This is when I decided in 2015 that if I had to excel in this profession and to enhance my general expression and confidence level, it is imperative for me to undergo a smile transformation. So after a lot of research on smile design specialists in India and not finding any, I finally decided to fly down to Nepal to Dr. Sushil Koirala (I regard him as the Jackie Chan of aesthetic dentistry). I have never seen anybody so swift and precise with a keen sense of aesthetics in working. Smile transformation of a patient can be a huge undertaking for a dentist. And while we have the technical skills, experience and understanding of aesthetics to perform a smile makeover, patient’s input is just as necessary to achieve a satisfying result.
Your part really has to do with expectations such as - What do you see when you look in the mirror, and what do you really want to change? What is it that you really dislike about your teeth? etc. Getting a sense of what you perceive as unattractive will help you assist your dental surgeon formulates the well guided treatment plan for you.
Your personal perception of beauty also has a huge role to play. Whether you want an invasive conventional smile design procedure that focuses on symmetry like “Smile Makeover”, “Smile Extreme Makeover” or choose a noble SMILE MAKUP protocol designed by Dr. Sushil Koirala based on his Minimally Invasive Cosmetic Dentistry ( MiCD) treatment protocol and Naturomimetic Smile Design (NSD) principle of “Harmonizing Asymmetry within Symmetry”. The SMILE MAKEUP protocol focuses on lowering the biological cost with no drilling, no cutting and no injections and harmonizes your smile perfectly with your personality.
Changing my smile has been my biggest step so far. It was only a sunny smile and little it cost in the giving, but like morning light it scattered the night and made my days worth living. It is not easy being a dentist to trust another dentist and submitting yourself to undergo such a life changing transformation even after reading and knowing about your dentist’s expert professional acumen. You belong to the same field and having that knowledge about it raises if not more a 1000 questions that titillate your grey matter regarding the treatment being executed. I did not want my enamel cut at any cost hence it was a real challenge. We went ahead with a “No Drill Smile Technique”. I did not allow him to drill any enamel / during whole Smile Makeup procedure. I underwent a Quick Smile Design (QSD) which was done in my mouth itself in no time, barely few minutes and this gave me full confidence on treatment planning, the aesthetic outcome and my comfort level in that chair this time as a patient (Fig 9-11).
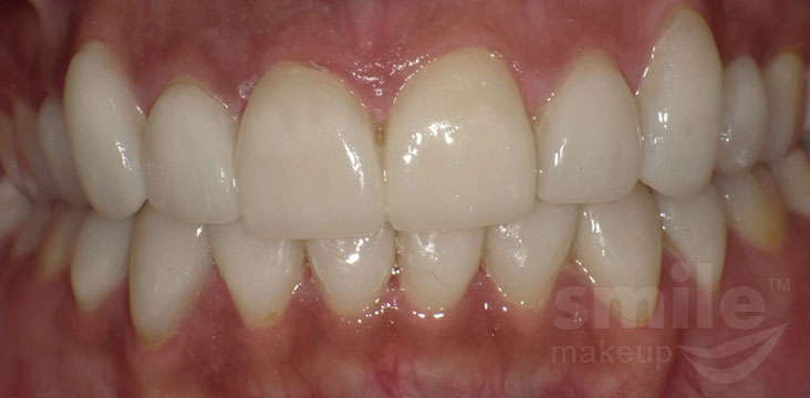
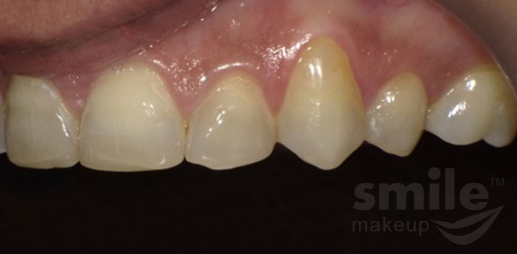
All is well that ends super well. I am glad I took the step to undergo this treatment under Dr. Sushil. He has given me a reason to smile more and with confidence now. The one week of treatment has done a lot in introducing myself to more confident me (Fig 12-19).
I chose his Smile Makeup protocol because I know the value of tooth structure hence believe in conserving it being a conservative dentist myself. I now strongly have a future desire to work on promoting the concept through lectures and chain of clinics of SMILE MAKEUP in India and abroad that is based on MiCD “Do-No-Harm Cosmetic Dentistry” philosophy.
|
||
|
|
|
|
|
|
|
|
|
|
||
|
|
|
|
||
|
||
|
|
|
|
||
|
|
|
|
|
|
