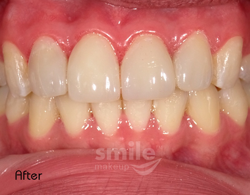
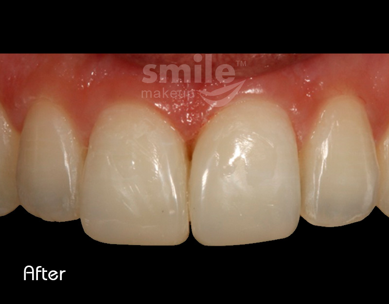
Ask your dentist for Smile Makeup
+977 4428367, 9851128367 (or SMS)
Ms Niti Shah, Miss Nepal International 2017
Ms Sahara Basnet, Miss Nepal Asia Pacific International – 2017, Miss Intellectual 2017